Tags
ACDF procedure, Amanda Scott doctor of Physical Therapy, Cervical fusion, Cervical spondylosis, Coronado Surgical Center, Dr. Michael Crovetti, Dr. William Smith, Lumbar fusion, Total Hip Arthroplasty, Total Hip Replacement, XLIF procedure
Here is the most amazing story about a most amazing lady – you or I thought we had it tough – think again!
ANSWERS FOR THOSE LOOKING TO HAVE or have had an XLIF, ACDF, OR TOTAL HIP SURGERY
Hi Everyone!
Geesh! I’m awfully sorry it’s been 2 1/2 weeks since I last wrote! I’ve been a tad busy with a few personal things, (Greg having surgery and some painful dental work done) but I’ve been reading your questions…
I decided to dedicate a whole entry to this website about all the questions that keep popping up about the different surgeries I’ve had. It’s my hope that I can put some of your fears to rest, answer some questions and shake a finger at some who’ve thought it’s all on the doctor to make you feel better!
I’ve dissected the questions into the three main categories of :
- Cervical Spondylosis/ACDF procedure/cervical fusion
- Total hip replacement/hip arthroplasty
- XLIF procedure/spinal fusion
In doing this I trust it will clear up some unsettling feelings you may have about any of the above procedures. If you are a neck/back/leg pain sufferer, then you know PAIN! You also know it will take some healing to get to a point of no pain. Please bear with me as I address these issues you’ve asked about.
Bear in mind also that what I share with you is MY experience, what I’VE been taught and MY understanding of the procedures performed on ME. In no way does this constitute a medical opinion or negate the advice of your personal doctor or surgeon in any way. My only intention with what I share is to INFORM you of the experiences I’ve had.
As we all know, no two people are alike and neither are any two surgeries. AND we also know there are risks involved with any surgery. You are best advised by your personal physician and surgeon about what outcome(s) you can hope to achieve. It is in your best interest to be as informed as you possibly can be, before making any decisions, weighing your options against your own personal judgements, or belief system.
Make no mistake, surgery is an invasion on your body that requires time and effort to heal. Every effort will be made by your physician and surgeon to help you in any way they can, HOWEVER you, as a participant in the healing process, with a vested interest in getting better, must assume responsibility beyond the scope of what any one physician or surgeon can do.
I will be blunt, forthright, and honest about all of my healing and experiences… about what I’ve learned from other experts (mostly in the realm of physical therapy) along the way. Because I’ve developed a very close relationship with my caretakers, I’ve gleaned a great deal of understanding about my body, it’s healing, and what I can hope to achieve from it in the near future and in the months and years to come.
Herein lies some of the questions in answer form I’ve been seeing because of this website.
CERVICAL SPONDYLOSIS/ACDF procedure/CERVICAL FUSION

Cervical spondylosis is agony. Because of where the pain occurs, it can render you almost immobile. It taints most upper body movement with any number of pains manifested at either the slightest of motion, or the broadest of reaches for something you may need to pick up. The pain can range from a dull relentless ache, to a searing pain that cuts through you like a knife, stabbing you in the back. A head turn or tilt, a spontaneous reach for something falling before it breaks, or sometimes even a deep breath requested by your doctor to listen to your lungs; all of these actions can put your mind into a blithering state of semi-consciousness while you readjust yourself to find a more comfortable position to be in less pain. Notice I said less pain here, not out of pain. For the most part the pain is an ever-constant reminder that you are limited to your movements and at any given moment you will be stopped dead in your tracks until you can find some measure of relief. Until that point, you are not able to concentrate on even the smallest of tasks before you.
Chemical pain relievers often do little to mask the symptoms or give you a state of comfort. Relief sometimes comes in the form of going horizontal for a period of time. Sometimes, long periods of time. Which plays on your self esteem in different ways. First, it renders you unable to perform even the most ordinary of tasks. And secondly, it takes you out of the game of life for sometimes unprecedented amounts of time.
I share all of this with you for two reasons. One, I regret not having that inordinate amount of time I spent laying flat on my back for ten years for some small measure of relief to do the things I either needed to or wanted to do. By doing so I missed out on a good amount of life, of which I’ll never get back. It dictates to you how you live your life, not allowing you to choose how you want to live.
The other reason is to help the people living with or who are around the pain sufferer who may not fully understand what’s happening to someone when they’re experiencing such pain. NO, they CAN’T move or do the thing you asked of them. NO, they CAN’T go with you to be an active participant in activities which require movement far beyond their present capabilities! Don’t make them feel any worse about not being able to participate than they already do. NO means NO! A little empathy goes a long way here. They’re NOT over-exaggerating their inability to move. They are NOT just looking for sympathy. NO, they CAN’T just work through the pain to accomplish whatever’s requested of them.

The pain they have in their neck, shoulders or arms and the numbness and tingling they may be experiencing in either one or both sides can render a person much weaker in their ability to do even the smallest of everyday tasks such as opening a jar, picking something up or even holding something for any length of time. The condition is REAL.
I had the “stab in the back” kind of pain and the numbness and tingling in my hands and arms, plus spasms in my neck, along with the inability to stand at the stove or sink for any length of time because of the reach I had while doing so, not to mention the angle I needed to bend for dishes. My head also tilted to one side or another when I was upright, it was a real effort to hold my head up straight. (it looked like I was holding a phone on my shoulder without using my hands) And then there was the numbness in my arms and fingers and the constant tingling and shooting pain between my shoulder blades. Oh, and did I mention all the sleepless nights I had or the ones where I could only get two or three hours at a time? (sometimes I took “night naps” [1 hr or less of sleep at a time] because of the pain) The headaches were excruciating, often debilitating. AGAIN, the best relief I found was going horizontal for more hours than I care to account for.
Over the counter medicine did little to relieve what was wrong with me and my doctors from Ohio didn’t believe I could be in that much pain and still be functional. Some thought I just wanted the scripts for the pills to sell. And as I told Dr. Smith, “I’m an ‘if it’s broke, fix it’ kinda gal,” but I should’ve added, “And if it ain’t broke, don’t touch it!” But I think that went without saying. It had little to do with the pills, I hate taking any kind of em, but I needed some kind of relief but never got until I met Dr. Smith.
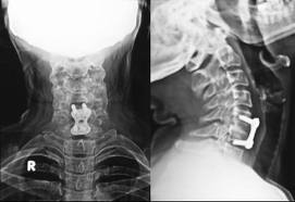
I was overjoyed when Dr. Smith validated my pain as he pointed it out to me when he looked at my MRI. “I see your problem right here!” pointing at three vertebrae that were squished together. The pain was real, not in my head; just imagined! I smiled with satisfaction when I heard his comment, “My gosh girl, you’re a mess!” His next words were even more welcome when he said to me, “I can give you a measure of relief from all the pain you’ve been experiencing through a surgical procedure called ACDF.” He didn’t promise me the sun, the moon and the stars, but he did promise me he could relieve my pain. That was music to my ears.

What is ACDF? It’s an acronym for Anterior Cervical Discectomy and Fusion. I’ll leave the “technical” explanation for your doctor to explain. There are many “variations” of the procedure, enhancing your chances for a complete and successful recovery. (different conditions need different applications to address specific issues unique to your own body or condition.) The ACDF is a procedure where the surgeon goes into the spinal column at your neck through the front, either one side or the other of the voice box and the esophagus. The surgery is actually performed this way so the surgeon can best locate and isolate the involved vertebrae with less damage to connective tissue and tendons making motion possible in the first place. This leads to a quicker healing process. It is said that a successful ACDF procedure can give the pain sufferer immediate relief from all the excruciating symptoms right after surgery. THAT is a very accurate statement!
HOWEVER, there’s the pain from the surgical wound and procedure. Believe me, I never thought this was going to be a walk in the park pain free. But I have had some twists of fate so to speak with my healing I wasn’t exactly prepared for. IT HAD NOTHING TO DO WITH WHAT THE DOCTOR DID! It was a specific set of circumstances no one could have anticipated. A couple of things I brought on myself and I’m still kicking myself for having done them. Life is all about choices.
For one thing, I guess I didn’t realize they were going to have to pull my voice box and all my neck muscles out of the way to get to where the doctor needed. That being said, it would’ve been ok for the average person. But, I am a singer, (see earlier posts for in-depth explanations about being able to sing after ten years) and after just getting my voice back and the breath to hold the notes, I didn’t realize it would affect my singing like it has. In defense of Dr. Smith, I also have to admit, I had to have another major surgery just weeks after my ACDF which didn’t give my neck near enough time needed to heal the way it should have or could have. Because of that additional surgery, and because they had to use yet another airway down my throat, well let’s just say, the healing in my neck was set back, is slow going, and I’ll have no way of knowing what the eventual outcome will be about my singing for a few more months.
I had some additional complications most people don’t have because my throat started to close from the swelling due in part because I was too stubborn and didn’t want to take the steroids prescribed by Dr. Smith. He graciously honored my wishes even though the nurses kept asking me if I’d reconsider. It wasn’t until 5 days after surgery that I conceded and called his office, at which time his PA, Joe, called in a script for me to take. By then I could hardly swallow food or saliva and breathing was a scary event. I prayed the steroids would kick in quickly. It was my own stupidity and poor judgement that led to extra suffering and worry. The pills quickly did their job, but I was just that much further behind by then.

It was hard for me to find a comfortable spot to lay. I was in a soft neck brace at night and a hard one the entire time I was up. That hard one was soooo uncomfortable but I made Dr. Smith a promise to do EXACTLY what he asked of me. So for six VERY uncomfortable weeks I suffered through the hard brace, all-the-while walking and doing everything he assigned me to do. To make the whole experience a little easier to take, I decorated my neck brace with some fake rhinestones where the ugly logo of the brace manufacturer was. It was my signature and my way of keeping a little control of my situation. The added bling caught Dr. Smith’s eye and he laughed with enjoyment at me embracing the temporary state I was in.
On my first visit back after my surgery I was given a script for PT. But Joe said if I didn’t want to do it I didn’t have to. Well, that PT turned out to be my saving grace. My doctor of PT, Amanda Scott, from Mattsmith Physical Therapy knew how much singing meant to me. She also knew I was going to do everything asked of me so she was willing to go the extra mile and find me plenty of neck exercises to strengthen my muscles. It also helped with the muscle spasms in my neck and shoulders. I can’t say enough good about Amanda, she’s awesome at what she does! She’s one of my heroes! And so are her exercises. For as much as I don’t like doing the exercises, like she’s said many times, they will give me a measure of relief until my muscles are strong enough to do the job on their own. In strengthening my muscles, which have been either not used properly for ten years, or been stretched beyond their normal capacity, or damaged in some way by the invasion of the surgical procedure itself, I will bring them back to their proper function so there’ll be no pain when I call upon them to use.
There was a LOT of stiffness in my neck, even now, four months post op, I find myself getting up with a stiff neck or at the very least, tight muscles, although it is getting better the more I do my exercises. And I found that the more I did my exercises, the better I was breathing because I was forced to breath correctly while being that active. (If anyone is interested in a list of those exercises, leave me a request in my comment box. On a subsequent post I’ll then post them for all of you to use. There are a LOT!!) I was amazed at how many different exercises Amanda came up with for me to use. And don’t beat yourself up if you forget a few and do only certain ones. The body has an uncanny way of acclimating quickly to repetitive motion so I was told not to do all of them every day each time I did exercise. By switching things up it keeps your muscles guessing, much like when you do different activities in daily life. If they don’t know what muscles you are going to call upon, they will all stay in shape if you work them alternately.

Another hard lesson I had to learn was to talk. Not that I couldn’t after surgery, it’s just that I didn’t. Greg is a silent person and only speaks when necessary. Brian and his girlfriend are often not at home for great lengths of time which renders me silent for a huge portion of my days. So, I discovered my voice was quite raspy for a long time. It discouraged me thinking I’d never be able to sing again, if I wasn’t going to be able to speak. Dr. Smith even mentioned the change in my voice. It was very disappointing to me. It wasn’t until my nephew called me one night out of the blue and were on the phone for the better part of almost three hours. In the morning my throat was very painful, but it was a good kind of hurt. You know the kind of hurt when you use muscles you haven’t in a long time…. that kind of hurt. As it’s turned out, I now go to the store or Walmart and will speak with anyone who’ll talk to me just so I can strengthen my vocal chords.
Oh, I still do my neck exercises and stretches but I know that I have to use my vocal chords too. I’m now allowed to do some vocal warmup exercises and as my chords get stronger, the more in control I am of the sound they make and if they’re on pitch or not. The tongue and jaw exercises have been especially interesting… I told Dr. Smith I have the strongest mouth in Las Vegas…. and that’s saying something! He laughed, and agreed!
I have to say that I did have some really bad pain in my neck and shoulders after my surgery leaving me in doubt that I did the right thing. But as time has worn on, I’ve come to realize the necessity of continued PT, even at home when no one is looking, and the allowance of time to pass. I had some pretty intense shoulder pain immediately following the surgery. It’s my understanding that a bone graft is used in order to fill in the fusion in some cases. If that’s the case then I’m sure they took the graft from my shoulder blade which would explain the added pain. As with the XLIF, a bone graft was used in order for the fusion to be a complete success.
In that procedure they took my bone graft from one of my ribs. It was painful at first, and I was uncomfortable most of the time when I sat, or moved a certain way, but as time passed, the pain disappeared. So too has the pain in my shoulder, a combination of passing time and of me doing some intense upper body strengthening I imagine. As for my incision, I had an infection in my throat after my hip surgery which swelled it once again. Dr. Smith was out of the country, but Joe was there to see me and get some antibiotics working quickly. I keloid (thick scarring tissue) so I wasn’t sure if the lump at the incision was swelling or just scar tissue. At any rate, Amanda and Bobby, my PT tech, kept rubbing 40,000 IU of vitamin E oil on my incision on the advice of Dr. Smith to aid in the reduction of scar tissue and the healing of the actual wound.
I knew the brace was only for six weeks even if it was hard for me to wear. My back brace was on for four months! I figured I could do six weeks with this one. I know the only one I hurt is me if I don’t do what Dr. Smith, or for that matter, any of my other doctors ask of me.
As far as I’m aware of the longevity of the success of the ACDF procedure, taking the proper care, I would imagine it will last me the rest of my lifetime. I don’t plan on being a UFC fighter and I’ve given up the hope of getting back to water skiing, so barring an unforeseen accident of some sort, there’s no reason for me to think this procedure needs to be revised.
It’s been my understanding from a patient perspective, there are certain mitigating conditions that directly affect a successful outcome of the ACDF surgery. One of the biggest issues is if the patient is a smoker due to circulation problems. Healing comes slowly, or in some cases, not at all, when people are smokers. Some other factors may be heart conditions or diabetes. In some rare instances, outside conditions can create an environment where the bone grafts may not “take.” In that case, it would be within the doctors’ judgment to make that determination and appropriate action. It was scary for me as the days and weeks passed and my healing was so slow due to the added stress on my body from having an additional surgery so close to my ACDF. I literally felt like the fusion was not taking properly or not at all. When Dr. Smith looked at my follow-up x-rays and said with almost a smile in his voice, “Your procedure is completely fused, it looks really well and I’m very pleased with what I see.” Whew!” I was beginning to think the things I felt in my neck and shoulders were still going to be a part of my everyday life. Ah, not so! I just needed to strengthen them, and his visit gave me a renewed sense of purpose for my exercising.
As with all healing, a doctor can only do so much, he’s not God. After he preforms the skills necessary to correct what’s wrong, it is up to us as patients to do our part, to make good the rest of the healing if not to please the doctor, to make us not look like a slacker. We are in charge of our own destiny. If we don’t put in the work, then don’t blame the doctor if there’s not a successful outcome. Yes, before you get all upset, there are those circumstances sometimes far beyond your’s or the doctor’s control and something bad may happen or the surgery just isn’t successful for one reason or another. In those instances, it may have been any number of reasons for which we should not second guess unless we know every minute detail of the case. And each case is uniquely different than the next.
As far as the pricetag of the ACDF procedure, it is mostly contingent on several factors. One, your insurance carrier and coverage, how much work your doctor has to do once he gets in there to stablize everything, what type of and how many pieces of hardware used, your area of the country for the pricing standard(reasonable and customary) for this type of operation, and the biggest price differential is how much the facility you are being cared for at charges you and your insurance company. I will leave this last issue for another post, as it is a HUGE pet peeve of mine.
As I’ve gone through this little discussion, I trust I’ve answered all the questions posed to me over the course of the last two month’s worth of posts for my ACDF procedure. As with any medically invasive procedure, there are risks as well as benefits. My benefits far outweighed any risk I may have had because the pain was so debilitating. IF someone were to outright ask me if I’d do it again…. the answer is a resounding, Y E S!! I WOULD DO THE ACDF PROCEDURE OVER AGAIN! The biggest reason is that I’ve gotten past concentrating on pain and started concentrating on living. The hideous pain stole ten years of my life, and I’ve got a lotta living to get in now. LOOK OUT WORLD!
My next topic is my TOTAL HIP REPLACEMENT/ HIP ARTHOPLASTY

Only a few questions have been asked about this procedure so I’ll make my statements brief. A major portion of my healing from my hip replacement has been covered in prior post entries. If you would like to know more, please either refer back to those posts or leave a note in my comment box and I’ll gladly address any issues you’d like to discuss.
The number one question about hip replacement is: When do I know it’s time to get my hip replacement? The short answer is, when you’re ready. But I know the underlying thoughts that make people hesitate and downplay their pain and condition if they go solely on that answer. The bigger questions are a little more complicated than that. Ergo, what happened to me, I’ll explain.
For about a year, I’d been having trouble with my right hip. It kept popping out of it’s socket, I actually could feel it either pop out or work it’s way back in. When it popped out, it was excruciating and my only recourse for the pain was sitting or laying flat on my back. I really regret not knowing “when” to address this issue with a doctor because it took me out of the busiest time in my son’s life, when he really still wanted me to go with him and do things with him. I just wasn’t able to go and do those things. And now that time is lost forever. We have a unique bond ( see earlier posts) and it was exciting to know I’d raised him to be a respectful young man who wanted his mother to share in his experiences with him. I knew it wasn’t going to last, there was a small window of opportunity this would occur in his life with me and I was missing out on a LOT of it.
When I did go, I took some over the counter pain reliever and attended the functions he asked me to go to. A movie at the theater, a frozen yogurt run late at night, a Best Buy run to get yet another piece of electronic equipment, or just wander through the aisles of Walmart late at night because neither of us could sleep. I did do some of it, but mostly I was in pain. He was acutely aware of my condition and often took it into consideration while planning an outing for us. He was always respectful in the fact that he never rushed me or slammed me for not being able to go the quicker pace he would’ve like to have gone.
But as time wore on, I found myself horizontal more and more for all the reasons of my health. And it was heartbreaking. I WAS MISSING OUT ON LIFE. Time was passing me by and as I watched from my chair or my bed and realized just how much time I’d given in to my pain. It was time to act.
Not only because of the pain did I feel the urgency to get my hip done, but because our insurance was drastically changing. We had a Cadillac policy with all the bells and whistles, but in less than a few short months, I would no longer have such good coverage.
Originally, when I first went to Dr. Smith we addressed my lower back and cervical issues. I knew what was going to happen with those. But after my spine was straightened, I found my hip was popping out more and more. It put me down for lengths of time, rendering me unable to do my “back rehab” the way I was supposed to. It was so frustrating for me. Dr. Smith and I discussed it and he sent me to a doctor of orthopaedics that he highly respected, Dr. Michael Crovetti.
Dr. Crovetti is a powerhouse, young, sensitive, energetic and a genius when it comes to fixing hips. I was out of my hard neck brace only four days when I saw him in his office. There he took one look at my x-rays on the lightbox and said, “Yup, I see what’s wrong,” pointing at the deformity along the bone line. That was the good news, he knew what the problem was. The bad news was, “You’re gonna need a hip replacement soon.” I broke into tears. I felt so bad for him, it’s the first time I’ve ever cried in a doctors’ office. But it was the final blow. In less than two months I wouldn’t have the great insurance, and I wasn’t yet healed from my neck surgery. He looked at me and said almost apologetically, “I’m not trying to force you into anything you’re not ready to do, I’m just saying, to be out of pain, you’re gonna need a total hip replacement soon.”
That’s when I explained to him about the insurance. His look softened and he said, “Ah, I understand.” Then in a very upbeat tone he suggested,”Well then let’s just book you in at the first open date. I’ll let you talk to my scheduler.” I cried through the entire registration process. The insurance company was giving me no choice. (you can read about my hip replacement in more detail by scrolling back to some of my earlier posts.)

I’ve shared this all with you because you see there are circumstances, some far beyond your control and others you do have control over that help you form your decisions. So, the short answer of “WHEN YOU’RE READY,” though really lame, is really the best answer anyone can give you. The questions you need to ask yourself is, HOW MUCH MORE PAIN CAN I TOLERATE?, HOW MUCH MORE LIFE AM I WILLING TO MISS OUT ON? These should be the questions you ask yourself to answer your own question, “when should I get a hip replacement?”
Dr. Crovetti is an amazing doctor who understands not only the mechanics of your problem but brings to the operating table the reason each of his patients has for going through the surgery to get back in the game. As a former athlete sidelined because of a sports injury, he is VERY much aware of the sacrifices his patients have already made because of their condition. He truly wants you back in the game as soon as medically possible, to live your fullest life. I am in awe of his work. I was up and walking 3 hours after surgery and off the walker and no cane assistance in four weeks. And yes, I did ALL the rehab he prescribed for me, and then some! I WOULD DO IT ALL AGAIN IF I HAD TO… HE’S THAT GOOD!
As with all surgeries, there is a time for healing which includes getting your muscles moving again. There were days I didn’t feel like doing my walking but I did it anyway. I gave myself a break by not going as far but I still did it….. and I kept at it. I walked through the post-op pain, and kept moving. A professor of mine once said that the body was designed to keep moving and the worst thing you can do, even for arthritis, is to stop moving! Dr. Crovetti ascribes to this philosophy. KEEP YOUR BODY MOVING!! Take your pain meds as prescribed, you’re not gonna get hooked on em, but you do need em for the short period of time you’re in the process of rehabilitation.
LISTEN TO YOUR BODY, it will tell you what it needs. At the very least, don’t give up walking or going up and down steps. My house doesn’t have steps, so I go to the mall and walk around from one end to the other and I use the steps not the elevator or escalator. There are leg lifts that can be done but each doctor sets your hip a certain way. Check with your doctor about which motions you are limited to.

Dr. Crovetti made sure I would be able to cross my leg, man style, so I could tie my own tennis shoes or paint my own toe nails. (he has a wife and two daughters, he understands these things) I won’t be allowed to thrust my leg back to a full backward extension, but I honestly can’t remember a time in my recent past that I’ve needed that motion and said, “Darn, I can’t do that!” LOL

Dr. Crovetti put in a ceramic hip which has yet to fail in clinical trials so he could not give me a specific end date for my hardware. He told me I could go back to water skiing if I wanted to, however Dr. Smith has already nixed that idea since he’s done all the other repair work. In 1978 my mother had her right hip replaced and was told that within ten years she’d have to have it replaced. She had the “old style” but never did need to have it redone.
I’ve talked to several people who’ve had bilateral hip replacements, even having it done at the same time…. I’m not so sure I’d do that unless of course I was faced with the same dilemma I was with time constraints and all. If my other hip goes out at any time, I wouldn’t hesitate to have it done as well. I’m pretty much all surgeried out but if something should come up of necessity, I wouldn’t hesitate to have my other hip done either.
Especially if I could have it done at the Coronado Surgical Center. This surgical center is in the same building as Dr. Crovetti’s office. His operating rooms are designed specifically for orthopaedic surgeries. A lot of thought went in to the design of the center to give his patients the optimal chance for a good recovery and minimal “hospital” style experience. My room was one of the six suites there at the center with many comforts of home. There was seating for several people and even a recliner! Kathy, the patient concierge, was there to help make my stay as comfortable as possible and addressing any issue before it became a problem. I was served meals from an Italian restaurant next door and had someone just feet away if I needed help. I couldn’t have asked for a better place to recover.
Dr. Crovetti does his surgeries on Monday and by Wednesday of that week you’re outta there! His on-campus staff of physical therapists works with you the entire time making sure you have the skills necessary to function on your own at home. AND, the beauty of the Coronado Surgical Center is that it’s about 20% cheaper to have it done there! It truly was an amazing experience, and since I had to have it done, I’m so glad I had it done there!
Although technology is growing by leaps and bounds and is crossing over in a huge way with the sciences, I don’t know of any study or project underway at this time addressing the issue of hip tissue being able to regenerate itself. That being said, I did see an article recently saying that a wounded soldier back from Afghanistan was given treatments over a two year period that helped him regenerate tissue in his leg that had been torn off because of an IED explosion. The article stated he was even showing signs of regenerating muscle tissue. The work is VERY promising for many reasons including bone regeneration!
So to recap a little in this discussion, about hip replacement, YES, I would have it done again! I trust Dr. Michael Crovetti’s judgement to do the right procedure and do it to the best of his ability. He is a doctor’s doctor, meaning, one that other doctors would trust to have him do their surgeries. As for the Coronado Surgical Center…. it’s an amazing place to have surgery! As for the procedure itself, I’m pleased with my progress even though it’s only been a little less than 8 weeks out. Last weekend I was picking weeds out of my flowerbeds! I feel amazing and I know it can only get better!

My last topic for this post’s discussion is the XLIF procedure
The question posed was open ended… it read “How soon after XLIF….?” So, since I’ve already covered ad nauseum the details of my XLIF surgery in earlier posts, I’ll refer you back to them and take a lighthearted approach to this unfinished question, David Letterman Top Ten style.
HOW SOON AFTER XLIF…..
- should I be able to walk to the bathroom and get up from the toilet? And the answer is….. within the first few hours after surgery!
- should I be able to have a BM? And the answer is…. as soon as you start eating fruits and veggies to make you go!
- will I be off this walker? And the answer is… usually within the six weeks after surgery if you become stable enough in your stride and you gain muscle strength back in your legs.
- can I get out of my back brace? And the answer is…. within four to six months, but only your doctor will be able to judge how strong you are to have it removed.
- can I drive? And the answer is… when the doctor tells you it’s safe, he wields a lot of power over you to keep others safe, remember you’ll still be on some very strong pain meds.
- can I return to normal daily activities? And the answer is… as soon as you feel you’re able to do the normal things you once did within the limitations your doctor has set for you.
- am I able to start physical therapy after surgery? And the answer is… at about six weeks your doctor will allow you to start the rehab process, keeping in mind that you should’ve been doing the passive physical therapies in bed and sitting up within hours and days of your surgery.
- can I expect the tingling and residual surgical pain to subside? And the answer is… you should start to notice a huge difference at about the four to five week mark.
- can I find my motivation to do the ordinary things I used to enjoy? And the answer is… use little techniques to help your motivation by making a calendar of all your benchmarks like the doctor’s two week follow-up visit, six weeks till you’re driving, six months until your brace is off, etc. Mark off as each day passes, you’ll be amazed at how quickly the time goes.
- can I have sex? And the answer is…. ASK YOUR DOCTOR!
I want to thank all the many visitors from around the world who’ve taken the time to read my words. It is my hope that you can learn from me and it is my prayer that you have a happy and healthy future. If in some small way I’ve contributed to your success, please drop me a line and let me know how I did and how I can improve my website so others can benefit from our discussions.
As always take care of you and yours and reach out and touch someones life, you may be just the person they are looking for.
God Bless,
hugs
Kathleen
Technorati Tags: total hip arthroplasty, total hip replacement, ACDF procedure,, Amanda Scott doctor of Physical Therapy, cervical fusion, cervical spondylosis, Coronado Surgical Center, lumbar fusion,, XLIF procedure
Thanks for your inspirational words and all your courage. I hope you may never have the pain you have endured repeat.
I have missed precious time with my grandson, because of my hip problems. He is like the son I never had. My wife’s son’s have given me the opportunity to have 4 grand children, I am grateful for them.
Thanks for sharing your information.
Respectfully
Howard Sadwin
HI Howard,
Thank you for your endearing wishes for me. Don’t suffer any longer with your hip…have it looked at, and if need be replaced. We’ve only got one life to live and time’s a wastin!!! Get back in the game, you deseve the best life possible!
hugs to you,
Kathleen