Tags
Bone scan, ceramic, Cobalt chrome, Earl, femur, hip arthroplasty, Hip failure, hip implant, Hip Replacement, hip replacement failure, metal-on-metal hips, metallosis, MoM Hips, Nuclear medicine, Orthopedic surgery, osteolysis, Smith & Nephew, Smith and Nephew
11 am rolled around quickly…
This was the first time I had met the private orthopaedic surgeon and I was very pleasantly surprised at his openness, approachability and professionalism.
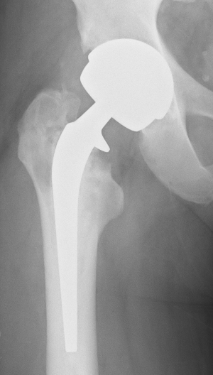
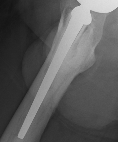
We reviewed my X-rays and confirmed the osteolysis and bone loss. The health of the bone at the top of the femur is a concern and I am going to have a nuclear medicine bone scan tomorrow morning to see what is going on with the blood flow to and around the bone.
I had a biopsy taken later in the day at the hospital and there was not much in the way of fluid – more a greyish fibrous capsular type of tissue – now with the pathologist.
The movement of the prosthesis, or lines suggesting movement within the femur where obvious (it seems?).
Regardless, the hip pops and clicks in and around audibly a few dozen times a day as I move, standing and sitting.

So – bottom line, for whatever reasons, this hip is not performing and so the surgeon is intending to remove it in a few weeks and put a lovely Smith & Nephew Ceramic on Ceramic hip in its place.
This is from the Smith & Nephew website:
It is the 99% ceramic in ceramic that is going to do the job…
Ceramic on ceramic
Another option for extending the life of your hip replacement is ceramic on ceramic. These implants reduce wear by 99%3 in laboratory testing when compared to traditional metal on plastic. With ceramic on ceramic hip replacements, both the ball and socket are replaced with ceramic. These implants have an excellent reputation for reducing wear, but have limited flexibility in design options due to manufacturing limitations of the ceramic material. Therefore these implants are not suited for all patients. Talk with your surgeon about this technology and if it is right for you.
Not a Small Job…
It is going to the a biggish operation as the press-fit acetabular cup will have to come out and a bone graft will be required to fit the new cup plus a few trusty screws..
.
And then he will need to dig out the femoral implant but the way it looks that should come out very easily – but he will then have to dig out the old cement and the cement that spewed down the femur when the last surgeon did not use a glue cup.
A longer femoral stem will be required and he may get away with a press fit – time will tell.
Bone Scan
So tomorrow – bone scan and then back to see the surgeon Thursday 28th July….
Will keep you posted.
Cheers
Related articles
- Australia – Amanda Keller had a hip replacement operation (earlsview.com)
- Durable Implantable Devices Materialize with Ceramics (earlsview.com)
- Biomet Receives FDA Clearance for Active Articulation(TM) E1(R) Dual Mobility Hip System (earlsview.com)
- DePuy Orthopedics Gets FDA Approval For Ceramic-on-Metal Hip Implant Pinnacle CoMplete System – Is This A Potential Replacement for the Other Ones Out There? (ducknetweb.blogspot.com)
- Ceramic Hip Replacement (earlsview.com)
- History – Smith & Nephew Receives US FDA Approval For Ceramic-On-Ceramic Hip (earlsview.com)
- Options for Hip Replacements – different materials (earlsview.com)
- Ceramic-on-Ceramic Hip Implant Let Patients Stay Active Longer (earlsview.com)
- How Long Do Hip Replacements Last? (earlsview.com)
- Mr. Michael Solomon, Sydney Australia Surgeon Gives Advice on Hip Replacement (earlsview.com)

Earl, this should be a cake walk for you, I hope < arte all the great publications and information you have provided me, talking about such matters each and every day I hope you have mastered the mental anxiety of having this procedure.
I know you will be stronger than the average person, and be up and about quicker than most.
Howard Sadwin
Hi Howard
there is some fear and trepidation and juggling work, family etc is a tricky one too.
I have discovered that all this work I am doing is really helping my thought processes and I am so pleased to be helping lots of people with the collection I am assembling on the Blog – it will grow as I keep adding to it over the next 30 or so years or until I fall off the perch!
I saw Kathleen’s note to you – I hope you you do get the break you deserve and a new hip sometime soon!
Earl
Good luck with that Earl. I have heard that about 10% of ceramics squeak which is the lesser of all evils I guess.. Looks as though the wear properties are good. Hope the recovery is swift. Looking forward to hearing how it goes.
Thanks Alan – I think I can live with the squeaking – better than pain and sitting around not being able to do anything!
Earl
Pingback: Nuclear Medicine Bone Scan July 20th, 2011 « Earl's View
Pingback: Smith & Nephew’s Exclusive OXINIUM Material for Hip Replacement Implants Chosen for Premium Reimbursement in Japan « Earl's View
Pingback: Smith & Nephew Birmingham Hip Replacement Hell – Howard Sadwin is lucky to be Alive « Earl's View
Pingback: History – Smith & Nephew Knee Implant Recall – 2003; Oxinium « Earl's View
Pingback: History – Smith & Nephew Hip Component Mislabelled – 2007 « Earl's View
Pingback: History – Smith & Nephew Hip Resurfacing Cups Recalled 2007 « Earl's View
Pingback: Is Oxinium Going to be Safer? Maybe? « Earl's View
Pingback: Analysis of squeaking on ceramic hip endoprosthesis using the complex eigenvalue method « Earl's View
Pingback: Research Breakthrough for Joint Replacements – Australian Research « Earl's View
Pingback: Ceramic-on-Ceramic Hip Implants Squeak Only When Dry « Earl's View
Pingback: Why do surgeons avoid the obvious when patients complain??? « Earl's View
Pingback: Earl – Three Days Until Hip Revision Day « Earl's View
Pingback: Earl – ONE DAY Until Hip Revision Day « Earl's View
Pingback: Earl – X-Rays Post Revision « Earl's View
Pingback: Earl – Day 20 Post Operation – some pictures « Earl's View
Pingback: Earl – 27 Sept 2011 Visit to the Surgeon « Earl's View