Tags
femur, Hip Replacement, Implant (medicine), joint replacement, Orthopedic surgery, Patient, surgery, UNited States
Hip Revision A – Z
Source: Hipreplacement.co.uk
Introduction to revision or redo surgery:
In spite of the generally good results after total hip replacement, there are times when things do go wrong. This fortunately, happens much less frequently now than was the case when hip replacements were first invented. Nearly every hip replacement done within the first couple of years of the operation being devised failed and it did so within two to three years of the surgery. In fact, Sir John Charnley, the inventor of the modern form of hip replacement, was so discouraged that he stopped carrying out the operation until he was able to investigate and fix the problem. He found that the material he was using for the socket (HDP, high density polyethylene) was unsuitable for the purpose and substituted that with UHMWPE (ultra high molecular weight polyethylene). The latter continues to be the most widely used bearing to this day.
When problems arise with a hip replacement, a revision or redo operation may become necessary. The decision about going for surgery is something that has to be made in discussion with the surgeon in charge, taking into account the potential benefits and weighing them up against the risks.
- The most common cause of failure nowadays is loosening of the socket component.
- The femoral component (the “pin” in the thigh bone) seems to do better, but of course that too can loosen.
- There are times when both components may lose fixation.
- Redo or revision hip replacement surgery continues to be necessary for infection and there generally does not appear to be much improvement in the rates of infection with say the situation 10 years ago.
- Sometimes it is necessary to revise the hip because it is unstable and dislocates or slips out of the joint frequently.
- Relatively rarely, surgery may be required because of bone loss caused by particles generated from wearing down of the replacement. This condition is called osteolysis and some people are concerned that this particular problem may become more frequent in the future.
- In the old days it was not unusual to see the femoral component break from the normal stresses of use, also knows as a fatigue fracture of the implant. This is fortunately a rare occurrence with the modern implants.
- Manufacturing errors and design errors can lead to a high rate of failure and early revision surgery. While patients are of course counselled about this likelihood if they happen to have had one of the “problem implants”, surgery is generally delayed until the implants are seen to be clearly failing.
Implants for revision hip surgery
The implants used for the revision operation are broadly similiar to the ones used for first time sugery. They consist of a cup section inserted into the natural socket of the pelvis and a stem with a ball at its top aspect that is inserted into the femur bone. When the two are put together, a joint results much as is the case in nature where the ball at the top end of the thigh bone forms a joint with the hollow socket of the pelvis bone.
In many instances however, the implants required for revision surgery are more complicated and have to be selected for each individual patient depending upon the prevailing clinical situation.
The socket component increasingly used for revision surgery nowadays is of the type that is implanted without cement. It has to be said however, that some surgeons do continue to report good results from revisions carried out with cemented socket components. The implants used without cement are of a range of sizes and the most appropriate one for a particular patient can be chosen at the time of surgery and inserted after a trial fit. On occasion, even the largest sized component may not be satisfactory and this is particularly the case when the bone loss is significant and also where it has occured only in one sector of the natural socket as opposed to uniformly all round the socket. In such situations, the surgeon may used specialised components that have “add ons” to allow better filling of any defects. These “add on” modules are assembled to the artificial socket prior to implantation into the patient.
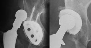
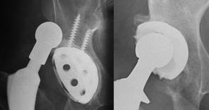
There are instances when the bone defects are so great that there is insufficient bone to anchor satisfactorily, a socket without using cement. In such a situation, the surgeon has the option of using socket reinforcing steel cages that are first implanted into the damaged socket much like a scaffold for a building. A socket can then be cemented within the scaffold. If the bone loss is even greater, say in a situation when damage from the failed replacement has caused a large hole in the natural socket of the pelvis, a large shield with an integral metal shell is first placed on the bone. This is held by means of screws placed via the shield into relatively intact bone. The shield achieves stability by overlapping the margins of the socket. Once this has been fixed in place, the plastic socket may be cemented into it’s cavity. Larger and more complex metal components and replacement parts are available to deal with bigger bone losses.
With regards to the femoral components, there are two broad trends in the more complex cases. One is to rebuild the damage in the femur (thigh bone) with bone graft. This technique is called impaction grafting. The femoral component which is much like the one used in primary surgery, is then cemented into the grafted bone. The other broad trend is to use modular components without cement. Surgeons proficient with both techniques have obtained good results though the impaction grafting procedure has been around for longer than the modern modular components for use without cement (the cementless components). As the risks of disease transmission with bank transplant material have become well known and as the legislation for running the banks and using donated bone has become more complex, surgeons are not using impaction grafting as frequently as was the case only a few years ago. The components used without cement are supplied in a “knocked down” state which is very handy as it allows the surgeon to “make” an implant by putting together the right sized components at the time of surgery. This mean that the implant can be “fabricated” in the operation theatre taking into account the best fit and suitability for the patient. Often the surgeon will have a wide choice of components to put together in each section of the implant for maximum flexibility.
The surgery for revising hips
There is little doubt that revision hip surgery is generally much more involved and complicated than the first time or primary hip replacement operation. Overall, it is a more lengthy operation and associated with a higher level of risk.
Patients generally take longer to get over this type of surgery.
It is however, crucial to understand that while the primary hip replacement operation is a fairly standard and predictable procedure, the revisions vary from patient to patient. In fact it is hard to see two patients with exactly the same problem hip. The implication therefore is that solutions for patients who have failed hip replacements have to be tailored individually.
There are a number of factors to be taken into account when planning the surgery for the patient and these include:
- What is the cause of the hip failure in the first place?
- Is there an infection in the hip?
- Which of the hip replacement components have failed and need to be changed?
- What has been the consequence of the failure of the components? For example, is there bone loss? If so, how much?
- How have the implants been fixed in the first place? Has cement been used or not? How will the implants be removed without causing damage to the bone and soft tissues?
- Is the remaining bone stock enough to anchor the new replacement components? If the answer is yes, then is the bone stock more suited to taking a cemented implant or one without cement? If there is significant bone loss then how is that to be made up or circumvented?
- Will it be neccessary to only replace one component of a hip replacment? If so, what is the make and model of the hip in place? Are the “matching” components still available from the manufacturers and how long ahead of the surgery do those components need to be ordered in?
- Is it necessary to use non standard components to deal with the patient’s particular situation? What implants and from which manufacturer would be most suitable?
All of the above go through the surgeon’s mind when he or she is evaluating a patient with a failed hip replacement that needs surgical correction. In understanding and learning of the various options available to the surgeon, one can look at the various components on the surgery and how those areas would be dealt with:
- Loose socket
- Loose femoral component
- Both components loose
- Bone loss on the socket side
- Bone loss on the femoral side
- Surgery for unstable or dislocating hips
- Infected replacements
What is the cause of the hip failure in the first place
The most common cause appears to be loosening of the cement used to fix the artificial socket into the hip bone. As the socket loosens progressively, it starts to rub on or abrade the bone into which it had been fixed. This constant rubbing has an affect much like a coarse sandpaper causing the dissolution of bone slowly over a period of time. Further, the rubbing or rocking process causes the generation of small particles of cement that are ingested by some of the specialised cells in the body who see the particles as foreign material. While this starts off as a defence reaction, the ingested particles leads to, through a complex mechanism, the release of powerful chemicals in an effort to defeat the “enemy” material. Unfortunately, these chemicals can lead to bone damage and further bone loss not only in the vicinity of the loose component but also at times in and around the other stable component.
Just as the cement surrounding the socket component becomes loose with time, so can the cement placed around the femoral component. The progression of the problem is as described above. Also, once the implant loosens, it can place abnormal stresses both on the bone as well on the implant itself leading to bone loss in the first instance and breakage of the component in the second.
An infection deep within the hip joint and in and around the components can be the cause of the failure. This is a particularly difficult problem to deal with both from the point of view of the surgeon as well as from the perspective of the patient. Usually though not always, the hip components are securely fixed but may have to be removed simply to allow the infection to be eradicated.
If the hip dislocates or slips out of the joint repeatedly, then that may necessitate a revision operation. A single dislocation, particularly in the first few weeks after the primary hip replacement is not necessarily a problem and often remedies itself after the hip is put back providing of course that there are no recurrences. A problem hip of this nature needs to be studies closely to establish the cause of the dislocations in the first place. It is only if the cause can be identified that there is a good chance of fixing the problem. At times, the hip may be unstable because there is not enough tension or tightness in the muscles and ligaments around the artifical replacement. This lack of tissue tension can make it easy for the hip to pop out. On the other hand the problem may lie in the orientation of the components of the hip replacement. If that is the case, then it is the orientation problem that needs to be addressed and not the soft tissues. Sometimes bony projections and outgrowths such as often occur as a natural consequence of the arthritis of the hip can cause the hip bone to impinge against these outcroppings and result in the hip joint levering out of the socket.
There are times when the surgeon during a check up may notice the development of bone defects or patches of bone loss on x-rays even though the components are securely fixed. This occurs because of the body’s reaction to particles generated from wear and tear of the hip replacement bearing. The damage to the bone will continue progressively unless the bearing is renewed. Such bony damage can result is weakening of the bone and cause a fracture (a break in the bone) or cause the components to loosen. In a situation such as this, the earlier a remedial intervention is carried out the better as that may help preserve the patient’s bone stock and make the redo operation technically easier.
While the problem of component breakage has now become rarer, it has not completely disappeared. Sometimes the breakage results from a metallurgical fault during manufacture or from weakening of the implant due to defective finishing processes subsequent to manufacuture. On other occasions a femoral component may break becasuse it is securely held in the bone through only a part of its length and has loosened elsewhere. In such a situation, the stresses on the component concentrate in a weak area and lead to its breakage.
The loose socket
This is one of the commonest problems faced by revison hip surgeons. Most commonly, the sockets being revised are the ones that have been implanted with cement. In evaluating an individual patient’s case, the surgeon will want to assess
The current position of the implant:
It is not unusual for the socket component to move upwards in the pelvis due to the loosening. The rough outer surface of the cement layer attached to the socket tends to have a sandpaper effect on the bone causing wearing away of the upper part of the socket. The damage to the bone allows the shifting of the socket implant. The patient may notice shortening of the leg.
The amount of associated bone loss: Small to moderate amounts of bone loss, partcularly when contained within the confines of good bone, do not appear to have a detrimental effect on fixation of the new acetabular component. The surgeon may choose to use some partculate bone graft.
If there is more signficant bone loss, then the surgeon will have to use a technique that compensates for this. The options are the use of an acetabular reinforcement shell with supplemental screw fixation, an acetabular reinforcement shell with an inferior hook and screw fixation, an anti-protrusio cage and massive solid structural bone graft material.
Whether the failure has resulted in a fracture of the bone in the socket: This can sometimes occur when the problem of socket loosening has been left unattended for a substantial period of time. If there is a fracture through the floor of the socket but the bone of the rim remains intact, then this can be dealt with by the use of some bone graft at the time of a fairly standard revision of the socket.
On the other hand, if the fracture extends right across the acetabulum in a transverse direction causing the lower part of the pelvic bone to become discontinous from the upper part, then a supplemental plate fixation with bone grafting is neccessary.
A marginal fracture or one affecting a small sector of the acetabulum does not require to be separately addressed.
The state of the femoral component and whether that would need also to be redone: In carrying out his preoperative planning the surgeon would want to check the femoral component to see if that needed redoing. If that was the case, then he or she would remove this implant as a part of his approach to the socket. This tends to make the operation of revision of the acetabulum easier.
If the femoral component was not loose, then the next consideration would be to note whether it was cemented and if so, whether it could be easily removed and reinserted without damage, as part of the exposure of the socket.
If the implant had been inserted without cement in the first place and if bone had ingrown onto it, then its removal would not likely be wise or safe. In that case the surgeon may choose an alternative plan to access the acetabular component.
The size of the femoral ball and whether that is modular (removable without taking out the whole component): The surgeon would want to note the type of the femoral ball and its size. If the femoral ball was modular, then it would be possible to detach it from the femoral component at surgery and replace it at the end.
On the other had, if the ball was not modular and the implant was not to be removed, then he would have to ensure that he had sockets available to him during surgery that matched the size of the femoral ball. While this is not usually a problem, on the odd occasion, there may not be sockets available of the right size to “mate” with an old style femoral ball.
The loose femoral component: This is also a frequent problem though not as common as one of loosening of the socket. In evaluating an individual patient’s case, the surgeon will want to assess
The current position of the implant: It is not unusual for the femoral component to sink downwards in the femur bone due to the loosening. The rough outer surface of the cement layer attached to the component tends to have a sandpaper effect on the bone causing wearing away of the inner side of the femur bone. The damage to the bone allows the sinkage and also the tilting of the femoral implant. The patient may notice shortening of the leg.
The amount of associated bone loss: Small to moderate amounts of bone loss, partcularly when contained within the confines of good bone, do not appear to have a detrimental effect on fixation of the new femoral component. The surgeon may choose to use some partculate bone graft.
If there is more signficant bone loss, then the surgeon will have to use a technique that compensates for this. The options are the use of an implant that does not rely on bone support in the area of the bone loss, a longer implant that will achieve fixation in previously unused bone and bypass the area of the weakness, a modular femoral component that allows the use of “build ups” to compensate for the bone loss and recreate the length of the bone, a femoral component with supplemental screw fixation across the shaft of the femur bone and the use of solid structural bone graft material.
Whether the failure has resulted in a fracture of the bone in the femur: This can sometimes occur when the problem of femoral component loosening has been left unattended for a substantial period of time. If there is a crack fracture through only one side of the femur bone, then this can be dealt with by the use of some bone graft at the time of a fairly standard revision of the femur.
On the other hand, if the fracture extends right across the bone in a transverse or oblique direction causing the lower part of the femur to become discontinous from the upper part, then a supplemental plate fixation with bone grafting is neccessary. Purpose designed plates and cables are available for the purpose.
The state of the acetabular component and whether that would need also to be redone: In carrying out his preoperative planning the surgeon would want to check the acetabular component to see if that needed redoing. At times, it is only during the surgery that direct visual inspection of the bearing surface would reveal whether or not it needed to be replaced.
Is there a fracture of the implant: Fortunately, this has become less frequent nowadays with the advances in metallurgy in the last 15 years or so. However, one still comes across patients with the older implant (and occasionally a modern one) where it has fractured within the femur bone. It is important to plan for this problem as removal of the far component particularly if it is well fixed, can be difficult and may require the bone to be opened or “windowed”. Also, the new implant would need to cross the area of any weakness from opening or windowing the femur so as to reduce the risk of fracture postoperatively. This is becasue thee windowed area acts as an area of weakness and the normal stresses and strains on the femur can cause a break or fracture if the area is not protected during the healing process.
The surgery for dislocating hips: A dislocation is a term used for the slippage of one bone away from the other in a joint. Dislocation of the total hip replacement refers to the slippage of the ball out of the socket. When this occurs, the patient develops a sudden pain in the hip and loses the use of the leg. He or she is unable to put any weight on it and needs to attend hospital straightaway where, under an anaesthetic, the hip joint can usually be put back (reduced).
Unfortunately, there are times when the dislocation becomes recurrent and occurs more and more easily. The most common problems causing this to happen are:
- Mal-alignment of the hip replacement components
- Insufficient soft tissue tension to hold the components together
- Impingement from bone or one component against the other.
Corrective surgery is necessary when the dislocations become recurrent. The most important factor in determining the success of the surgery in preventing further dislocations is the correct identification of the underlying problem causing the dislocations in the first place.
Mal-alignment: The assessment of the alignment may be possible on plane x-rays but sometimes requires the use of a CT scan. The problem often lies in the orientation of the socket component. The difficult decision for the patient and the surgeon alike if malalignment has been identified but the components are well fixed, is to proceed to removal of the existing implants and the placement of the new ones in correct alignment. This is clearly major surgery and not without risk both locally to the tissues and bones of the hip joint and also to the general medical well being of the patient.
Sometimes however, it may be possible to change the bearing surface of a modular acetabular component with satisfactory correction of the dislocations and yet with surgery which is much less traumatic than a full blown revision. The more modern components have bearing surfaces or liners available that can effectitvely “change” the alignment of the socket side or provide a protection against dislocation. There are also some liners available for the acetabular component, that “capture” the femoral ball and stop it from dislocating. However, all of these have some downsides which is why they are not routinely used for first time hip replacement surgery in all cases.
Insufficient soft tissue tension: The main soft tissue that keeps the hip securely in place is the abductor muscle. This is a large muscle that is attached to the pelvic bone at the one end and to the top aspect of the outer prominence of the hip or femur bone on the other. It enables an individual to move the leg sideways away from the body. The distance between these two points of attachment keeps the muscle stretched and is responsible for the resting tension, not unlike an elastic band which has some tension in it if stretched.
During the hip replacement operation, the natural hip joint is removed. This allows the two points of attachment of the abductor muscle to come together with loss of tension. When the surgeon implants the hip, the two points again move out to their “normal” location allowing the tension to be recreated and this helps in keeping the hip joint in position. There is the opportunity to carry out a trial hip replacement using purpose designed components before the final implants are seated and so the surgeon is able to fine tune the artificial hip to the requirements of the individual patient and check for adequate stability and tension.
If for any reason the necessary tension has not been recreated, then the hip is at risk of dislocation. This may arise for example, if the two points of attachement of the muscle are not as far apart as they were prior to the surgery, if there is preexisting weakness in the muscle such as when there have been multiple previous operations or if there is a developmental problem, there is a fracture or break in the femur bone at the point of attachment of the abductor muscle or if there is inadvertent damage to the muscle at the time of surgery.
It may be possible in some cases to recreate the soft tissue tension by putting in a longer piece (ball) between the femoral component and the socket component of the hip replacement or using a purposed designed bearing on the socket side. In other cases, this may not be sufficient and the femoral component may have to be redone. If there is a fracture at the point of attachment of the abductor muscle then it may be possible to reattach or repair that and recreate stability in the hip. There are instances when none of these options work and a constrained socket may have to be used.
Impingement: This occurs when there is a “collision” or contact between the femoral component and the acetabular one during movement. The problem may arise say if the artifical hip does not maintain the distance between the femur and the socket as there existed prior to the surgery. It may also arise if there are substantial remaining osteophytes around the socket. The osteophytes are “extra” bone that nature produces in joints that are athritic. These projections of bone may get in the way when the artifical hip is moving and cause the ball to lever out of the socket in certain positions.
The best treatment is prevention as far as possible and to remove the osteophytes at the time of the primary surgery. At times it is possible to correct the problem by realigning the components or by inserting a longer or larger ball component on the femur.
Acetabular Revision: There are two main techniques used for revising the acetabular component. In more complex cases however, a different approach may have to be taken. As is the case with primary or first time hip replacement surgery, revision of the socket can be carried out using components with cement or with components purpose designed to be used without cement.
- Cemented sockets
- Uncemented sockets
- Bone loss
Cemented sockets: The cemented sockets have been the traditional technique and essentially there is no major difference when this type of implant is used in the revision situation when compared with the primary hip replacement case. Of course, as the cavity of bony socket is likely to be larger due to bone loss caused by the failure of the initial implant and also from unavoidable damage during removal of the component, more cement is used to pack and fill up the defects. The UHMWPE socket is then inserted into the cement and held in positon while it hardens.
Uncemented sockets: A technique that has gained increasing popularity in the last 7-10 years is the use of metal components without cement for revision of the acetabulum. These shells are very much like those used in primary surgery but have addtional holes provided so as to allow maximum flexibility to the surgeon is inserting supplemental screws. This is particularly useful where the bone is weak and the interference fit of the metal socket and bone, relatively poor.
More recently, these implants are being coated with hydroxyappatite which appears to promote the growth of bone onto the special surface of the metal shell. In some of the more complex cases with assymetric or unusal patterns of bone loss, the shells are available with modular “add ons” of different sizes that can be fixed to the shell to match the individual patient’s bone deficiency. This means that the surgeon is not limited to simply implanting larger and larger hemispherical metal shells to make up a deficiency that exists only in one sector of the socket.
Cemented sockets: The cemented sockets have been the traditional technique and essentially there is no major difference when this type of implant is used in the revision situation when compared with the primary hip replacement case. Of course, as the cavity of bony socket is likely to be larger due to bone loss caused by the failure of the initial implant and also from unavoidable damage during removal of the component, more cement is used to pack and fill up the defects. The UHMWPE socket is then inserted into the cement and held in position while it hardens.
Femoral Revision: With regards to the revising or redoing the femoral component, there are two broad trends. One is to rebuild the damage in the femur (thigh bone) with bone graft. This technique is called impaction grafting. The femoral component which is much like the one used in primary surgery, is then cemented into the grafted bone.
The other broad trend is to use modular components without cement. Surgeons proficient with both techniques have obtained good results though the impaction grafting procedure has been around for longer than the modern modular components for use without cement (the cementless components). As the risks of disease transmission with bank transplant material have become well known and as the legislation for running the banks and using donated bone has become more complex, surgeons are not using impaction grafting as frequently as was the case only a few years ago. The components used without cement are supplied in a “knocked down” state which is very handy as it allows the surgeon to “make” an implant by putting together the components at the time of surgery. This mean that the implant can be “fabricated” in the operation theatre taking into account the best fit and suitability for the patient. Often the surgeon will have a wide choice of components or parts to put together in each section of the implant for maximum flexibility.
Impaction grafting: Impaction grafting is a technique used in revison surgery that has been devised to deal with loss of bone stock in the femur (thigh bone). The technique relies on first recreating a stable and rigid upper femur in cases with severe bone loss, using wires, wire meshes, donated bone or metal plates. In some cases all of these may be required. Once the outline “scaffold” or containment is created, donated or bank cancellous bone is inserted into the femoral tube. The bone graft is hammered into the tube recreated previously using specially shaped tamps that follow closely, the shape of the femoral component to be implanted. By this means a “new” tube is made from the bone graft material reinforced as neccessary with the metal work mentioned above. It may be difficult to believe that a bony tube made in this manner will be strong enough to take an implant, but the method does work. Once this stage of the operation is over, the surgeon will have made up the bony deficiency in the femur with the graft material and will have a bony tube with a cavity within to take the femoral component. The implant is then cemented into the cavity within the recreated femur
Modular Femoral Implants:
Modularity, as it applies to the hip replacement implants, refers to the availability of the components in sections or parts, rather than as a single piece – the monobloc version. Historically, hip replacments were available as two “bits” – one was meant for insertion into the natural socket and the other, into the femur bone. Fairly good results were obtained by these components, particuarly with respect to long term survival. However, the philosophy was very nearly “one size fits all”. This posed some practical problems by reducing the flexibility of the surgeon during the operation. For example, once the socket had been cemented in, there was no easy way to salvage the situation if the position or orientation was unsatisfactory. Similiarly, on the femoral side, once the component had been implanted, it was difficult to adjust soft tissue tension, or the length of the leg if that was neccessary.
The modular components changed this. On the socket side, the surgeon now had available to him, a metal shell that he could implant into the natural socket but still retain the ability to change the inside diameter of the bearing, it’s alignment and also introduce protection against dislocation if neccessary without having to “uproot” the socket component. On the femoral side, he could change the length of the ball to adjust soft tissue tension and leg length, after fixing the component into the femur. He was able to do this, because the ball was now available in lengths with female tapers that could be “cold welded” to the male taper on the top end of the femoral component.
With time, there were further developments in modularity, which is particularly handy for revision cases or the difficult and challenging primary (first time) hip replacement procedures such as in patients who have deformities in the hip joint due to abnormal development.. The current components allow the surgeon to choose not only the size and length of the ball at the final stage of the surgery, but also the length of the stem section, its shape, surface finish and curvature, the shape and size of the upper end of the femoral component, the degree of offset and the rotation or twist of the upper section of the implant in relation to the stem section as well as the surface finish of this section. The advantage with these type of components is that the final implant can be assembled in the patient (or outside prior to implantation) to closely match the patient’s requirements. This in turn enables better soft tissue tension, stability, leg length equalisation, muscle function and reliability.
Risks of revision hip replacement surgery:
As is the case with most surgery and certainly with primary for first time hip replacement surgery, there are serious risks associated with revision or redo hip replacements. These risks include all those listed in the section on primary hip replacement surgery and more. Please review those complications as the following are risks in addition to those listed as associated with primary hip replacement surgery. (To learn about risk associated with primary surgery, click here.)
Change in the length of the leg: Revision surgery can result in changes in leg lengths. The risk is probably higher than with primary surgery because often the quality of the soft tissues and the bone available for the surgeon to work with is not the same as in the case of the primary surgery. Of course the operating surgeon tries his best to match the length of the legs on the two sides but that may not always be possible. Usually the discrepancy is small and a shoe raise on the shorter side is all that is required.
Thrombosis: As revision surgery is more prolonged and the state of the soft tissues and bone often not as good as when first time surgery is carried out, patients undergoing revision surgery are at a high risk of thrombosis. On occasion, patients undergoing this type of surgery may not be as mobile as the patients having first time surgery. This factor too may contribute to the higher risk of blood clot formation. Most surgeons ensure that the usual precautions against blood clot formation are in place and these include the use of drugs such as low molecular weight heparin, surgical stockings, mobilising the patients early and occasionally the use of calf or foot pumps. Any clot (thrombus) formed in the blood vessels can break off, travel in the blood stream and lodge in another blood vessel supplying blood to an important organ such as the brain, heart and lungs. By blocking the blood supply to that organ, the clot produces local damage. That is how, a stroke, or heart attach or a pulmonary embolus can result.
Dislocation: The risk of dislocation after revision surgery is higher than after primary surgery, probably five times or so or about five in a hundred. As the risk is highest in the first few weeks after the surgery, it is for this reason that patients are advised not to lie on their side, to not bend their hip more than a right angle such as when sitting in a low chair or attempting to bend to the floor or reach for their toes. Also, crossing the legs or twisting the hip could cause a dislocation and should be avoided.
Infection: This remains one of the more serious complications and while uncommon is probably about five times as high as after primary surgery rising to about 10%. In order to reduce the risk of infection, patients are given antibiotics routinely into the vein just prior to the surgery and for two doses after. Scientific studies have shown that antibiotics given in this manner play a significant role in avoiding infection. To learn more about infection after surgery, click here.
Nerve injury: Rarely, the sciatic nerve may get injured. The risk of such an injury is about 2 or 3 out of a thousand. Such a patient may notice that he or she is unable to pull the ankle and foot upwards or downwards and that the feeling in the skin in the calf or shin area may not be quite normal. He or she may be aware of patches of numbness or pins and needles. In the unfortunate situation when the injury does occur, it usually involves only a portion of the sciatic nerve and is reversible. In other words, a substantial recovery occurs with time in the majority of patients.
Fracture of the thigh bone: The word ‘fracture’ is a technical term for a break in the bone. A fracture of the thigh bone is a risk during the operation and certainly more so that at the time of primary surgery. This is again due to the soft tissue and bone quality that the surgeon has to work with in the revision scenario. The tissue can be quite hard, inflexible and stuck down and the bone quality in terms of strength, poor. The fracture can occur when the surgeon is attempting to dislocate the hip joint, or it may occur later as he is manoevuring the hip to the right position to insert the femoral component. Surgeons who do a high number of revision operations often have set precautionary procedures to reduce the chance of a fracture to the minimum possible.
Loosening of the artificial hip: As with primary hip replacement surgery, there can be no guarantee that the revised hip will last a life time. Redone hips can loosen just as the primary ones and numerous research studies have shown that the longer term results with this type of surgery are not as good as with the first time hip replacement operation.. It is true however, that the results of revision surgery are improving all the time as the newer technologies became available to the surgeons who are now also able to reconstruct more difficult cases in a reliable manner than was possible 10-15 years ago.
As with primary surgery, it is important for pateints to have regular check ups after the operation to pick up early, any signs of failure so that the problem can be dealt with earlier and more easily than would be the case if the hip replacement was left loose for a long period. This is because a loose hip replacement can cause “silent” i.e., without producing pain or other symptoms, damage to the bones into which it is anchored. This progressive damage can remain unknown to the patient and may be discovered only during a chance x-ray for an unrelated reason or only after the bone cracks and becomes painful. Occasionally, a specialist may have to advise a revision operation based upon the X-rays alone even though the patient may not be experiencing any symptoms.
More about infections:
Infection after the surgery is of three varieties.
Superficial infection: This involves the coverings of the hip joint without extending into the joint itself. In a patient having a superficial infection, the wound leaks fluid excessively and skin around the surgical cut looks red and inflammed. The patients generally do not feel unwell in themselves. The infection can frequently be treated successfully by antibiotics.
Deep Infection: Infection may also be of the deep type which is more serious as it extends down to the artifical hip joint. A patient developing this complication is likely to feel unwell and have a temperature in addition to having an inflammed red wound which leaks fluid or pus. The hip may be painful and walking may make the pain worse.
With this type of infection your specialist is likely to recommend surgery to wash out and clean the infection and also put you on intravenous antibiotics. Sometimes it is necessary to operate again to clean the infection a second time. The antibiotics will generally be continued for a period of 6 weeks and many infections can be cured successfully in this manner. Ocasionally deep infection may not respond to this treatment and will then require to be treated as a late infection.
Late infection: This is deep infection that develops later than about 12 weeks after the surgery. Usually, this type of infection will not respond to antibiotics and operations to wash out the infection. This is because the germs that cause the infection get into tiny crevices of the artifical hip itself rather than just remaining in the living tissues. As the blood does not flow into the artifical joint, the antibiotics do not reach the germs and are therefore not very effective.
The best chance of curing the infection is by removing the artifical hip completely to wash out the infection and using antibiotics put directly inside the hip joint space and also given intravenously. It is usually necessary to wash out the infection at least twice and continue the antibiotics for 6 weeks. During this time the patient has no hip joint at all but is generally able to get about in a limited manner with the aid of two crutches.
The specialist is likely to carry out serial blood tests the results of which can give him some indication of whether the infection is being cured. At about 8 or 9 weeks after the start of the antibiotics, it will be necessary to put a needle into the hip joint under X-Ray control to remove a sample of fluid. This is examined in the laboratory for any persistent infection and if none is found, that is a good indicator of the infection having been treated successfully.
The specialist will however also take into account the results of the blood tests and his physical assessment of the hip to advise the patient whether the infection has been eliminated. Once the infection has been successfully cleared, the specialist will recommend a waiting period before proceeding to implant a new hip. This can vary from a few weeks to a year. The length of this waiting period depends upon a number of factors including the type of germ that had caused the original infection and the state of the patients health and his or her ability to undergo a further major operation.
Related articles
- Revision Hip Replacement (RHR) (earlsview.com)
- Mr. Michael Solomon, Sydney Australia Surgeon Gives Advice on Hip Replacement (earlsview.com)
- Should I Be Concerned if My Hip Replacement Squeaks? (earlsview.com)
- Ceramic-on-Ceramic Hip Implant Let Patients Stay Active Longer (earlsview.com)
- Hip Implant Removal – Total Hip Revision (earlsview.com)
- MUSC Reconstruction Experts Address Metal-on-Metal Joint Replacement Device Controversy (earlsview.com)
- Techniques In Implementing A Hip Replacement Operation (earlsview.com)
- 7th Time Replacement on a Iraqi Patient – Dr Sachin Bhonsie (earlsview.com)
- Options for Hip Replacements – different materials (earlsview.com)
- How Long Do Hip Replacements Last? (earlsview.com)