Tags
Hip loosening, Hip Replacement, hip replacement failure, hip resurfacing, Implant (medicine), Infection, joint replacement, metallosis, Orthopedic surgery, surgery, Total Hip Replacement, UNited States, Wear
Hip Replacement Loosening
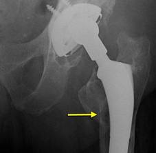
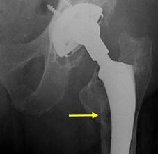
Resons for loosening of hip replacement implants over time
By Jonathan Cluett, M.D., About.com Guide Updated November 05, 2010 About.com Health’s Disease and Condition content is reviewed by the Medical Review Board
Hip replacement surgery is among the most common orthopedic procedures. While the procedure has become more successful and safer, it has not been perfected. One of the most common concerns of both patients and physicians is the problem of hip replacements becoming loose over time.
Why do hip replacements wear out?
Hip replacements can go bad for a number of reasons. These include:
- Loosening of the hip replacement
- Infection of the hip replacement
- Breakage or wearing out of the implant
- Damage to the bone surrounding the implant
The most common problem with hip replacements is that they begin to loosen over time. Infections and breakage of implants are uncommon, but potentially severe complications.
What is hip replacement loosening?
Hip replacement loosening occurs over time, and can cause problems with the normal function of the hip replacement prosthesis. When a hip replacement is placed into the body, it is either press-fit into the bone, or cemented into position. Either way, it is fit tightly into the bone of the thigh (femur) and pelvis so that the implant cannot move. When implants loosen, the hip replacement can begin to move small amounts. Usually this is associated with increasing pain and loss of motion experienced by the patient.
How long are hip replacements supposed to last?
Most hip replacements last an average of 20-25 years. Some hip replacements will last longer, while other hip replacement implants can fail much sooner. Occasionally hip replacement implants will fail immediately after surgery, while you may also hear about patients who have had implanted joints for 30 or more years with no problems.
Why is hip replacement loosening such a concern?
Both physicians and patients are very concerned about the problem of hip replacement loosening because a hip replacement revision surgery (replacement of a joint replacement) is a much more difficult operation. Hip replacement revisions are often not as successful as the first operation. After revision operations, patients tend to recover less overall motion of the joint. Also, the longevity of implant decreases with each revision. Therefore, physicians tend to avoid joint replacement surgery until absolutely necessary, and try to get as much mileage out of each replacement as possible.
Why do hip replacements fail and need to be replaced over time?
As stated previously in this article, there are several causes for hip replacements to fail, or go bad. Decades ago, when joint replacement surgery was new, there were different factors that determined how long a hip replacement implant would last. Some of the earliest implants failed because the metals were susceptible to breakage or the plastics quickly shattered. Because of improvements in the strength of the hip replacement prosthesis and the strength of the fixation of the implant, the hip replacements tend to last very well once implanted.
Furthermore, with improvements in sterile technique and medical treatment of infections, the very serious complication of joint prosthesis infection has also been reduced. Now, the most common cause of joint replacement loosening is due to wear of the implant surfaces, and the subsequent weakening of surrounding bone. This problem is called osteolysis, and it causes the hip replacement to loosen over time.
What happens when osteolysis occurs?
Osteolysis is a problem that causes the bone surrounding the implant to seemingly ‘melt away’. The weakening of bone around the hip replacement is seen on x-rays, and looks as though there are holes in the bone around the joint replacement. Because of the weakened bone, the hip replacement become loose, and begins to wobble within the bone. Patients experience symptoms of pain and limitations in motion of the hip. The technical name for this weakening of bone is called osteolysis.
What is ‘cement disease’, and how is this different from osteolysis?
In years past, this problem of holes in the bone seen on x-ray was called ‘cement disease’. This name comes from the fact that initially doctors did not know the cause of the weakening of bone. Because cement was used in the hip replacements, the problem was wrongly assumed to be due to the cement, thus the name cement disease. The name stuck, although it is now known that the cement is not the problem.
How does osteolysis occur?
Osteolysis occurs as a result of wearing out of the parts of the hip replacement. Over years of use, microscopic fragments of the hip replacement cause irritation to the tissues around the implant, and begin to cause the weakening of bone. Even though modern hip replacements are made of materials that can withstand wearing out very well, even small amounts of these microscopic particles can damage the bone around the hip replacement.
How can osteolysis be avoided?
In recent years, experimentation has started to investigate whether or not alternatives to the traditional metal-on-plastic (polyethylene) hip replacements would have less loosening. New implants made of ceramic-on-polyethylene, ceramic-on-ceramic, and metal-on-metal are being investigated to determine their longevity compared to the traditional metal-on-polyethylene.
How are these new implants thought to last longer?
The new implant devices tend to have much smaller wear particles; these are the debris particles that accumulate over years as the joint wears, much like the rubber wears off your car tires. In addition to having smaller wear particles, the overall volume of wear in these implants is also less than the traditional metal-on-polyethylene implants. However, it is not known yet if these different types of implants will actually lower the rate of loosening of the implants over time. Furthermore, there may be other complications associated with the use of these different types of hip replacement implants.
Unfortunately for patients there is no definitive answer as to which type of implant is “best.” The reason for this is in order to evaluate the long-term success of these newer types of implants, studies need to continue for many more years and include more patients. Many surgeons have a strong preference towards one type of hip replacement implant, and may use this in all patients because of their familiarity with that particular implant. If you have questions about what type of implant is being used in your hip replacement, you should discuss this with your doctor.
Related articles
- UK – Answers to commonly asked questions from patients with metal-on-metal hip replacements / resurfacings (earlsview.com)
- UK – Advice for GP’s – Hip Joint Replacements (earlsview.com)
- Bone Loss Following Hip Replacement – in Acetabular Region in A Woman with Breast Cancer (earlsview.com)
- Arthritis New Zealand urges calm over replacement hip withdrawal (earlsview.com)
- Total Hip Replacement (earlsview.com)
- How to Choose a Hip Or Knee Replacement Surgeon & Prosthesis (earlsview.com)
- How Long Do Hip Replacements Last? (earlsview.com)
- MUSC Reconstruction Experts Address Metal-on-Metal Joint Replacement Device Controversy (earlsview.com)
- Revision Hip Replacement (RHR) (earlsview.com)
- Techniques In Implementing A Hip Replacement Operation (earlsview.com)
- Should I Be Concerned if My Hip Replacement Squeaks? (earlsview.com)
- Hips and Hip Replacements: What you need to know (earlsview.com)
- Ceramic Hip Replacement Surgery (earlsview.com)
- Relief Trip to Nicaragua – Orthopedic surgeon Dr. Gerard Engh leads humanitarian effort (earlsview.com)
Pingback: Hip Implant Complaints Surge, Even as the Dangers Are Studied « Earl's View
Pingback: Patient Horror Story at the Hands of Many Doctors – Reponse to latest NY Times Article « Earl's View
Pingback: Further Patient Problems – in response to NY Time Article « Earl's View
Pingback: Hip revision surgery « Earl's View
Pingback: Partial Hip Replacement at 107 years old… « Earl's View
Pingback: Determining Material Characteristics of Hip Implants: 3-D Microscopy Is the Answer « Earl's View
Pingback: UK says metal hip replacements more troublesome – J&J DePuy – almost 30% replacement rate « Earl's View
Pingback: Earl – Day 20 Post Operation – some pictures « Earl's View
Pingback: Watch out for Doctors who Ignore the Facts – Trust your Body – it is more sensitive than X-Rays! « Earl's View