Tags
Ball and socket joint, femur, Femur head, hip, hip dislocation, Hip Replacement, surgery, X-ray computed tomography
Hip Dislocation
Source: Reconstructive Orthopedic Center Houston
Normal Anatomy
The hip joint functions as one of the most important joints in the human body. Designed for both mobility and stability, the hip allows the entire lower extremity to move in three planes of motion, while providing an important shock absorption function to the torso and upper body. The hip is a ball and socket joint, uniting the femur (thigh bone) with the pelvis. As a result of this configuration, the leg moves forwards and backwards, side to side, and rotates to the right and left.
The pelvis features two cup-shaped depressions called the acetabulum, one on either side of the body. The femur, or thigh bone, is the longest bone in the body and connects to the pelvis at the hip joint. The head of the femur, shaped like a ball, fits tightly into the acetabulum, forming the ball and socket joint of the hip.
Embedded within the acetabulum of the pelvis lies an important structure known as articular cartilage; this cartilage has two very important functions. First, the smooth, low friction surface of the cartilage allows the hip joint to move freely in all planes of movement. Second, the articular cartilage cushions the hip during weight bearing activities, providing an important shock absorption function to the entire lower extremity.
The hip joint also features a complex system of ligaments that provide stability for the pelvis and lower extremity. The ligaments of the hip joint connect the femur to the pelvis and are essential to keeping the hip from moving outside of its normal planes of movement.
The muscles of the hip joint have dual responsibilities. They provide the dynamic functions necessary to raise and lower the lower extremity as well as the stabilizing functions required during standing, walking, or other weight-bearing exercises. This complex system of muscles works synergistically to provide the power for the hip to move in all directions, as well as to stabilize the entire lower extremity during weight-bearing activities.
Pathology
A hip dislocation is classified according to the direction of the dislocation (anterior, posterior, superior, inferior), the amount of force it took to dislocate the hip, whether it is accompanied by a fracture (fracture/dislocation), and whether or not the patient has had a previous hip replacement on the affected side.

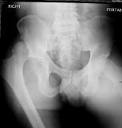
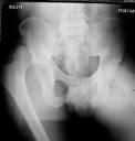
When younger patients sustain a hip dislocation, there has usually not been a previous hip replacement, and it is usually a posterior hip dislocation (out the back) caused by significant force, that results in a fracture of the hip socket (acetabulum). The fractured socket then prevents the hip bone (femoral head) from staying within the hip joint once it is put back. X-rays show the direction of the dislocation and if there is an associated fracture of the hip bone (femur) or socket (acetabulum). A physical examination is important to check for injuries to other structures, such as muscles or nerves.
When older patients sustain a hip dislocation, there usually has been a previous hip replacement on the affected side. These dislocations can be in any direction and may be caused by trauma, such as a fall, or normal daily activities, such as getting out of a chair or car. Dislocations caused by normal activities or when the hip has dislocated numerous times usually indicate that the hip replacement components are not in the proper position. X-rays show the direction of the dislocation, the approximate position of the hip replacement components, and whether there has been a fracture of the hip bone (femur) or socket (pelvis). When an X-ray does not provide all of the information required, a CT scan may be necessary to find out the exact position of the hip replacement components and to better image any fractures that may be present
Treatment
Hip dislocations are orthopedic emergencies. If there has not been a fracture that prevents the hip from being put back in place (reduced), the hip needs to be reduced immediately to prevent further injury. If a fracture of the hip socket (acetabulum) has occurred that prevents the hip from being reduced, a temporary pin hooked up to traction may need to be placed in the thigh bone or leg bone to keep the hip in place. The fractured socket then needs to be fixed with plates and screws to keep the hip in place. If the thigh bone (femoral head or neck) has been fractured as well, it will need to be fixed with either pins or a metal rod or replaced if deemed unlikely ot heal by those techniques.
When there has been a hip replacement, the hip needs to be back in place as soon as possible. If this is the first dislocation, treatment may consist of a brace, careful hip precautions and therapy. If the hip is not stable after being put back in place or there have been numerous dislocations, revision hip replacement surgery to correct the position of the hip replacement components may be necessary.
Related articles
- Hip Implants – from American Academy of Orthopaedic Surgeons (earlsview.com)
- Developmental dysplasia of the hip (earlsview.com)
- UK – Advice for GP’s – Hip Joint Replacements (earlsview.com)
- Total Hip Replacement (earlsview.com)
- Revision Hip Replacement (RHR) (earlsview.com)
- How to Prevent Hip Dislocation After a Total Hip Replacement (earlsview.com)
- Hip replacement and hip revision (earlsview.com)
- Hip Replacement – UK ARC Patient Advice Booklet (earlsview.com)
- Hip Dysplasia – all you didn’t want to know! (earlsview.com)
- Mr. Michael Solomon, Sydney Australia Surgeon Gives Advice on Hip Replacement (earlsview.com)
Pingback: Hip Implant Complaints Surge, Even as the Dangers Are Studied « Earl's View
Pingback: The problem of osteoporotic hip fracture in Australia « Earl's View
Can”t the hip disslocate from having a build up of fluid surrounding the hip, and pressure from the fluid make the disslocation easier to occur? In addition to a scan, should an mri also be included?
I had 3 disslocations, once getting out of bed, twice getting out of a chair.
Thanks
Howard Sadwin
Hi Howard
I think you are referring to bursitis – not sure sure. Will have to research that.
Typically the normal hip dislocates because of some trauma – sporting or car accident etc.
The replacement hip dislocates because the capsule and muscle that are part of the normal hip aren’t there anymore. So it is essentially a set of scar tissues that holds the new hip in place. Once one dislocation occurs then there is a “track” formed where the hip can more easily dislocate.
My step father in law has two replacement hips – one has been fine for years; the other has dislocated 5 times but he never stops to rest and let the tissue repair itself.
Earl
Pingback: Femoral Osteotomy – commonly used for adults in the treatment of hip fracture nonunions and malunions « Earl's View
Pingback: Earl – X-Rays Post Revision « Earl's View
Pingback: Total Hip Replacement – Short Review « Earl's View