Tags
Copenhagen, Health, hip, Hip Replacement, hip resurfacing, joint replacement, leg length, Norway, Orthopedic surgery, Patient, surgery
Leg length may be affected by use of spinal anesthesia during THR
Posted on the ORTHOSuperSite August 26, 2011
Use of spinal anesthesia during total hip replacement may impact leg length, according to researchers from Norway.
Knut E.P. Hansen presented his team’s study at the 12th EFORT Congress 2011.
“We wanted to see if there was any correlation between type of anesthesia, leg length, total time spent in theater/recovery room, postoperative hospital stay, blood loss and operating time,” he said.
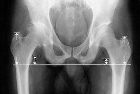
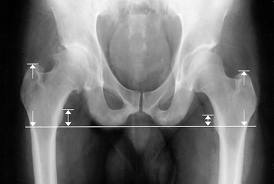
Hansen and colleagues performed a retrospective study of 170 patients who underwent primary total hip replacement (THR). The investigators excluded patients from the study who displayed abnormal anatomy or a had a body mass index of more than 46, as well as those who underwent simultaneous removal of internal fixation and those who had incomplete data. Leg length was measured by assessing the inter teardrop line and lesser trochanter on radiographs.
Spinal anesthesia was used on 99 patients, Hansen reported, with 71 receiving total intravenous anesthesia (TIVA). The researchers did not notice any significant differences in average operating time, drop in hemoglobin to the first postoperative day, postoperative hospital stay or transfusion rate.
However, they found a significant difference in the proportion of patients who displayed a leg length difference of more than 7 mm — 22% in the spinal anesthesia group and 6% in the TIVA group. They also noted average total time spent in the theater and recovery room was significantly higher in the spinal group than in the TIVA group.
“Our studies seem to confirm earlier findings that the type of anesthesia can affect leg length in primary total hip replacement,” Hansen concluded. “We speculate the spinal anesthesia has a more unpredictable effect on muscular tension, which could explain the leg length differences in the two groups.”
Reference:
- Hansen KEP, Maansson L, Olsson M. The effect of spinal anaesthesia or total intravenous anaesthesia on perioperative data in mini invasive primary total hip replacement. Paper #1311. Presented at the 12th EFORT Congress 2011. June 1-4. Copenhagen, Denmark.
Related articles
- Length of stay following Total Hip Repalcement multifactorial, study finds (earlsview.com)
- Revision Hip Replacement (RHR) (earlsview.com)
- Blood Clots – what you need to know (earlsview.com)
- UK – Advice for GP’s – Hip Joint Replacements (earlsview.com)
- Femoral Osteotomy – commonly used for adults in the treatment of hip fracture nonunions and malunions (earlsview.com)
- UK – Answers to commonly asked questions from patients with metal-on-metal hip replacements / resurfacings (earlsview.com)
- Total Hip Replacement in the Dysplastic Hip: The Use of Cementless Acetabular Components (earlsview.com)
- Total Hip Replacement (earlsview.com)
- Hip Implants – from American Academy of Orthopaedic Surgeons (earlsview.com)
- British Orthopaedic Association PRIMARY TOTAL HIP REPLACEMENT: A GUIDE TO GOOD PRACTICE (earlsview.com)
Pingback: Fast Track Hip Replacement – Study by Dr Bryan Nestor « Earl's View