Tags
bone graft, femur, Femur head, Hans Zimmer, Hip Replacement, Interference fit, metallosis, X-ray, Zimmer Hip Revision System
Hi Everyone
I came home mid yesterday afternoon and am starting to settle in – found my way back to my trusty computer and about 500 emails!
I am feeling OK – took some adjustment to being home last night and it was not my most comfortable one and my poor wife was kept awake with the sound effects and me knocking my water over twice, toilet twice, pain killers once – and feeling breathless from about 4 am onwards! And a migraine to boot. But fortunately I had some medication at hand for that too!
The raised toilet seat and adjustable bedside chair were well worth the outlay.
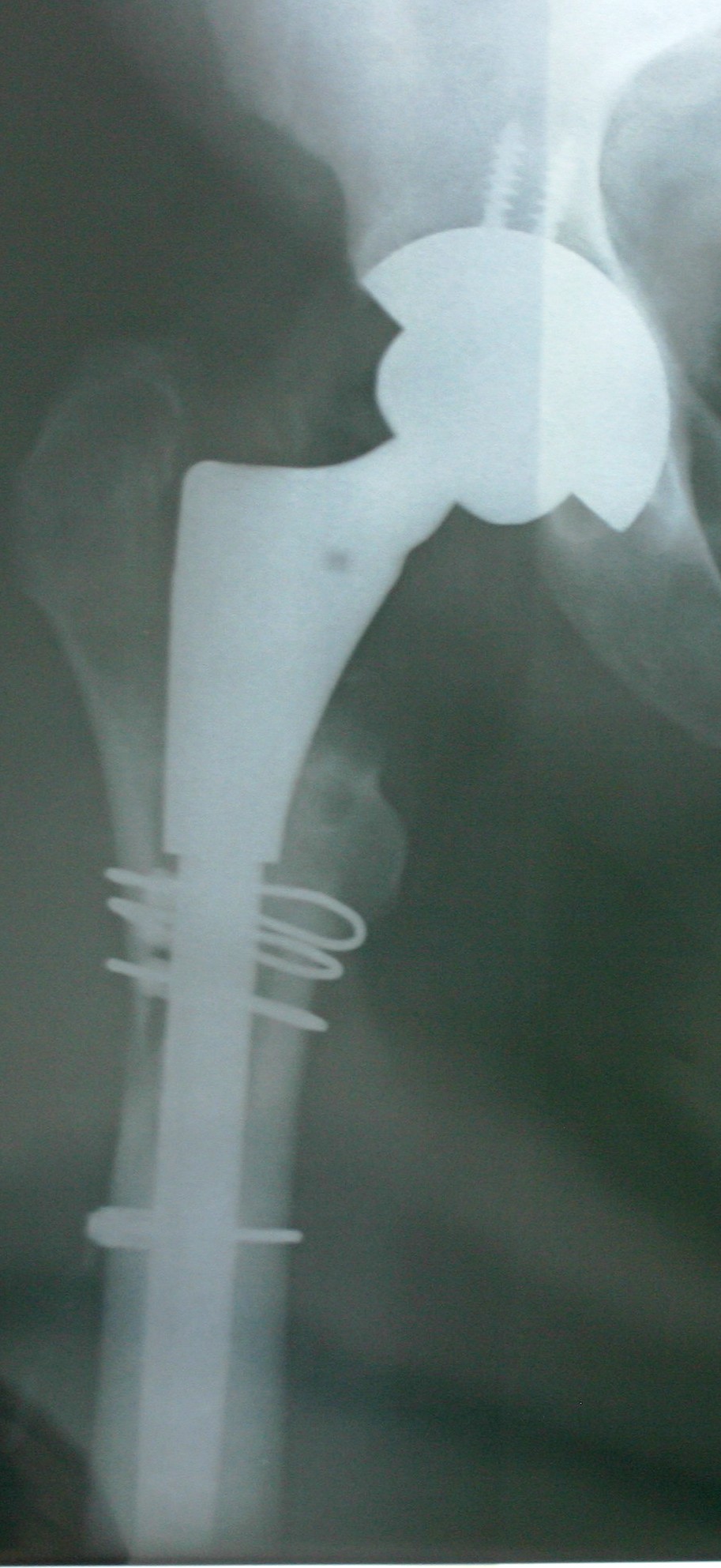
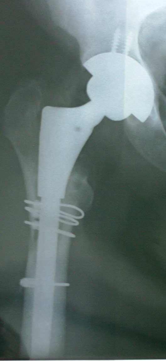
Here are the X-Rays of the revised hip – wired for everything except Digital FM, it seems!
Reminder:
- Split the femur to remove the previous Birmingham Spectron (S&N) femoral implant and remove excess glue and metallosis gunk.
- Bone graft to fill voids – wired femur back together to give bone strength while it heals – the fourth wire is to strengthen the mid femur because the new implant has a longer stem.
- New stem is press-fit.
- Then remove old acetabular cup – bone graft to fill out the void left – new cup put in and a couple of screws to make sure everything stays in place.
- Femoral head and cup are now inserted – ceramic on ceramic.
- The revision system is by Zimmer.
X-Rays
- To the right you can see the 38 or so stainless steel staples used to close the wound – removed on day 12 with only a few stings – no drama.
- The quality is not very good – taken on day one with me lying on a normal hospital bed and a very creative X-Ray team finding ways to get the required shots without moving me, the pain pump and the two drips too much – a real plumber’s muddle!
- Next week before I see the surgeon I will get a new set of X-Rays which should be a little crisper!
Related articles
- Earl – the operation and Day One (earlsview.com)
- Earl – Three Days Until Hip Revision Day (earlsview.com)
- Earl – ONE DAY Until Hip Revision Day (earlsview.com)
- Visit to the Surgeon Monday 18th July 2011 (earlsview.com)
- Medtronic launches Artisan System for Bone Graft Protection In Oral-Maxillofacial Surgery (medgadget.com)
- My Revision is Planned for 1 September – Yahoo!!! (earlsview.com)
- Hip Dislocation (earlsview.com)
- Birmingham Hip Resurfacing or Surface Replacement Arthroplasty (BHR) With Stem (earlsview.com)
- Ceramic-on-Ceramic Hip Implant Let Patients Stay Active Longer (earlsview.com)



Awww hun sorry u had a rough night. Hope tonight is much better. I slept in a lazy boy for 3 weeks until I could roll over on .my non operated side. The bed was so uncomfortable. Also didn’t disturb anyone at night because I slept in the livingroom lol well that was unless I screamed for help haha.
First two weeks are the worst but it will get better by 3 weeks I was a new person and driving :O by 4-5 weeks I was off pain meds and cheerleading started and I was team mom. Recovery will speed up now for you especially having to be more independant.
Feel better soon xoxoxox
Lol. I have the bed to myself tonight and I have taken a sleeping pill.
I won’t be able to drive for 4-6 weeks due to the two bone grafts.
Overall a better day. Hard to communicate with spouses unless the have had a hip operation.
But day at a time.
Earl
HI Earl,
So glad to hear you’re home! YAAAAY! You’re gonna be really busy with all your healing! Lots of walking in a while and muscle strengthening! You’ll be good as new, it looks like from the x-rays he took care of what was ailing you! Congrats to the doc as well! Revisions are very difficult! Keep us posted as to progress! I went on google earth and saw Paradise Point and the hospital you were in…. somehow I thought there would be palm trees and white sandy beaches when you said you lived on an Island! Geesh! it’s as crowded there as it is here in Vegas! You’d feel right at home here! LOL Hope some day to see the Gold Coast, and hope you can one day come to Vegas!
keep up the good work,
hugs,
Kathleen
Hi Earl,
Wishing you a speedy recovery. Be well, friend.
Don (your new friend from Viles and Beckman in Ft. Myers, FL)
Hi Kathleen
home is good, though I was so well looked after in hospital it was hard to leave!
You would enjoy the Gold Coast – we have all the palm trees and beaches all up and down the coast but I live on the internal broad water, just back from the sea – nice and sheltered and calm.
Las Vegas sounds like the place to visit – warm and dry!
We should work on a reason to visit Las Vegas / Gold Coast – maybe a hip revision survivors conference!
How is your health at present – you seem to have the world record for operations and pins and metal and replacements!
Earl
SO happy for you that you are finally on the mend. Although there will be good days and bad days, the good will outweigh the bad in no time my friend! Hoping this one lasts you MANY years, maybe the rest of your life!
Thanks Vicky – definitely on the mend – hard to kill a weed!
Aiming to keep this one much longer!
On your web and research you must be starting to think about what BHR recipients do at the functional end of the BHR life – this would be a big area of research.
This would be a post-BHR site!
I think I made the right decision on ceramic on ceramic, especially since I am sensitive to metal – but for those who do not have metal sensitivity I guess they have more options.
I am finding a pattern where people with auto-immune disorders, like myself, have more problems with metal on metal options.
Keep up your good work!
Earl
You too Earl, keep up the good work. We are all in this together. We are still figuring out the best solution for each of us whatever our situation may be. We really are extremely lucky, What we have is curable, but we all need to keep in mind that each individual is unique and what works for one may not work for others The important thing is to share with each other and make sure we share FACTS and not assumptions. It is all about helping each other and hopefully finding what works best for each individual. So those yet to have their surgeries can learn from us. I think education is crucial. We need to learn the WHOLE truth and do our research thoroughly to get the best results we can. Thank goodness for patient support groups. There are WAY too many sources that are NOT to be trusted out there.
I think anyone looking into surgery should definitely keep in mind that surgeon and device selection are the most important in your decision process. AND do NOT just listen to ONE surgeon, get second, third and even fourth opinions from world class surgeons. I can help patients with that. I don’t remember, did we ever get some other opinions on the placement of your original component? It is never too late to. That way you know what REALLY went wrong. That goes for anyone out there that would like to know. I have contacts with the majority of the world’s best orthopedic surgeons and NO, I do not any kick backs and I am NOT a consultant for any device manufacturer, etc. I am a Volunteer Patient Advocate, I do not make one cent from paying it forward.
Take it slow and steady on your recovery, you have been through a lot already, no need to rush anything. I hope this lasts you a very long time my friend.
Vicky
Thanks Vicky – I agree that research is important and between the two of us we are making the information on the web more accessible so that people can form their own views, in conjunction with their surgeons.
When I had my first operation I was in so much pain I didn’t stop to consider a second opinion – that was a mistake!
The hip replacement operation despite the failures is still one of the best and most successful operations in the world – there are very few operations that have the same level of success!
Earl
Pingback: Earl – Day 20 Post Operation – some pictures « Earl's View
Pingback: BHR Metallosis – Trust your Body – it is more sensitive than X-Rays! « Earl's View
Pingback: Earl – 27 Sept 2011 Visit to the Surgeon « Earl's View