Tags
Analgesic, Autoimmune disease, femur, Femur head, Health, hip, Hip Replacement, Patient, surgery, Telecommuting, Wound healing, X-ray
Hi everyone,
I have been making good progress since the hip revision 1 September – exercising each day. I am now fairly good at only low levels of pain killers – each day gets better.
I have been working from home part time when not resting and this seems to be helping the boredom of recovery! I have also been really busy responding to lots of comments on the blog – there are a lot of people going through all kinds of issues with their hip implants.
One common theme seems to be that some surgeons bury their heads in the sand and make their patients feel like absolute idiots if they happen to suggest the hip replacement hurts. Several of us have had that issue – and then presto a second opinion or some letter from the hip manufacturer and then they spring into action and identify “a hip or metal on metal problem” followed by quick replacement of the affected hip.
What is it with some doctors and insurance companies that makes them think that all patients are whinging idiots looking for sympathy for non-existent ailments?
We know our bodies and the pain better than they will ever know – listen to us.
The other theme is that a number of patients, like me have auto-immune disorders and this seems to predispose us to metal on metal sensitivity?
A more holistic approach to diagnosis and treatment would be great.
Here is a picture of my wound healing nicely Day 20:
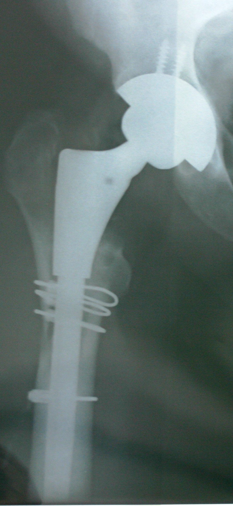
And here is the X-Ray of the hardware underneath!
Related articles
- Women most at risk from metal-on-metal hip devices, National Joint Registry Annual Report finds (earlsview.com)
- Earl – X-Rays Post Revision (earlsview.com)
- UK says metal hip replacements more troublesome – J&J DePuy – almost 30% replacement rate (earlsview.com)
- Total Hip Replacement (earlsview.com)
- Earl – the operation and Day One (earlsview.com)
- Hip Replacement Loosening (earlsview.com)
- Visit to the Surgeon Monday 18th July 2011 (earlsview.com)
- Anterior Hip Replacement (earlsview.com)
- Rottenstein Law Group Hip Replacement Client Data Supports Conclusions of National Joint Registry for England and Wales (prweb.com)
- Revision Hip Replacement (RHR) (earlsview.com)
- Mr. Michael Solomon, Sydney Australia Surgeon Gives Advice on Hip Replacement (earlsview.com)


Looking good!! Can not believe it has been 3 weeks already!
I totally agree with the pain comment. I am still in pain at just about 13 weeks. I do not think it is the implant itself just from the surgery. Who knows. Saw the surgeon today and he said it will go away and said to come back in 3 months. He said I am walking great and everything look great. I really hope so cause being in pain all the time sucks. Different from before, before it was a “ripping” pain now it is a sore type pain. Just feel like I havent progressed in the past 6 weeks. Everything has been the same. Surgeon also said that he has patients he worries about and he is definitely not worried about me. Guess it is just a patience game which I totally do not have
Oh and stop working 😛
Hi Christina
3 weeks goes fast – hard to believe as you say. Sounds like you are on track but it is hard to judge when you have never gone through it before. Me – I have a direct comparison with my last operation 3 years ago,
Work is a necessary evil! 🙂
Earl
Pingback: Exercise therapy helps severe hip osteoarthritis « Earl's View
Pingback: BHR Metallosis – Trust your Body – it is more sensitive than X-Rays! « Earl's View
Pingback: Earl – 27 Sept 2011 Visit to the Surgeon « Earl's View